
A young woman in India unknowingly lived with one of the rarest and most unsettling medical conditions for nearly two decades, her doctors say. According to a case report out this week, the woman had a sac containing her still-growing “twin” lodged in her abdomen for 17 years. The twin had hair, teeth, and even a spine.
Formally known as fetus in fetu, the condition is thought to happen when one fetal twin gets enveloped by the other very early in pregnancy. The fetus doesn’t go on to develop its own nervous system and brain, but it’s still capable of living. And it sustains itself through its sibling, essentially becoming a parasite. Another theory holds that the second “fetus” is actually a complex form of tumor called a teratoma; these tumors can develop different types of tissues at once, including hair and teeth.
Regardless of how the condition happens, it usually ends in miscarriage, due to not enough nutrition available for the intact fetus. But even when someone survives, the condition is usually quickly detected soon after birth or in early childhood. Prior to this case, according to the woman’s doctors, there had been only seven other reported cases of adults living with a fetal twin. And up until now, they had all been men.
The woman’s ordeal, detailed by her doctors in BMJ Case Reports, really began five years before she visited them. That’s when she and her family first noticed she had a hard, misshapen lump around her abdomen. Over the next five years, the lump gradually grew in size and caused her pain periodically. By the time the then-17-year-old visited the doctors, she wasn’t able to eat much before feeling full, likely because the lump had started to press on her internal organs.

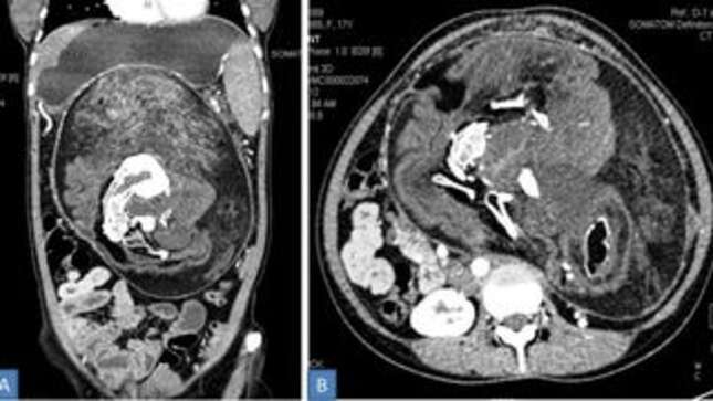
On the initial physical examination, the lump was suspected to be a tumor. Which in a sense, it was. But when they ran a CAT scan on the lump, they found deposits of calcium that looked like “the shape of vertebrae, ribs and long bones,” and the more grisly truth was finally uncovered. The doctors then went to work removing it.
According to the report, the contents of the tumor “consisted of hairs, mature bones and other body parts.” These body parts included “multiple teeth and structures resembling limb buds.” Its sheer size—36×16×10 centimeters—would also make it the largest ever found in a case of adult fetus in fetu.
Thankfully, with the mass gone, the woman had a speedy and uneventful recovery, and two years later is still doing well.
“I am feeling very well and my abdomen is now flat and my parents are also very happy,” she wrote in a patient perspective included with the report.
In an unsettling finale to this strange story, the doctors weren’t able to scrape out every last cellular trace of the “twin” from the patient. So there’s still a remote chance some of these cells could behave like a cancer and grow out of control. To mitigate that risk, the doctors said they’ll be observing the girl on a yearly basis for signs of trouble.