Understanding organics

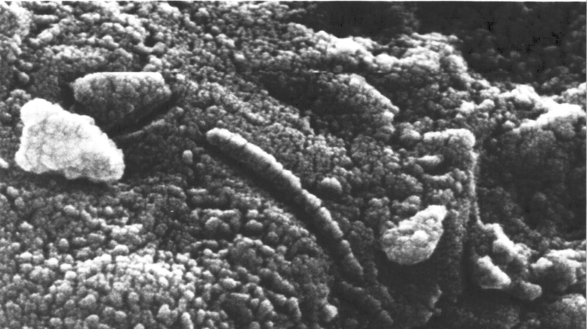
Sometimes, scientists use the term “organic matter” in reference to molecular-scale structures that are often connected with stuff that is alive. Last year, Gizmodo reported that a 4-billion-year-old Martian meteorite found in Antarctica contained no evidence of alien life, clearing up decades of speculation about minuscule structures embedded in the rock.
A paper published last year posited that what some had argued where microscopic fossils in the meteorite were actually resultant from abiotic processes. Gizmodo wrote at the time:
Now, just because something is described as “organic” doesn’t necessarily mean it has anything to do with life. Organic molecules are typically composed of carbon and hydrogen, and sometimes oxygen, nitrogen, and sulfur. Sure, these molecules are often associated with biological processes, but they can arise from abiotic processes as well, in what’s known as abiotic organic chemistry.
That’s especially relevant in understanding all discoveries of organic molecules on Mars, not just Perseverance’s recent find.