The mummy in profile

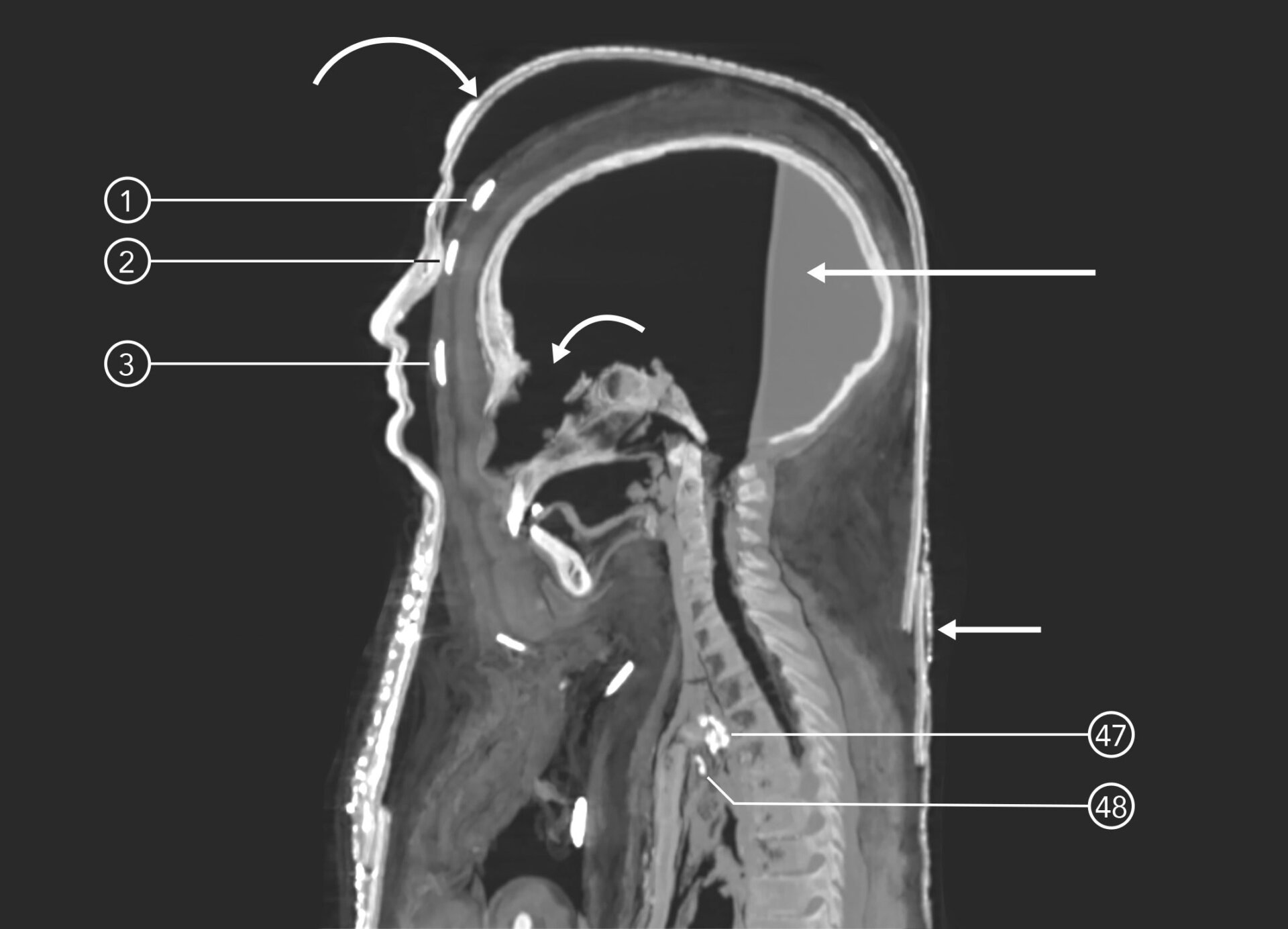
The mummy seen in profile revealed amulets both concealed in the wrappings and within the body itself. The back of the boy’s head is filled with a now-solidified resin.

The mummy seen in profile revealed amulets both concealed in the wrappings and within the body itself. The back of the boy’s head is filled with a now-solidified resin.