Skip to content
Health

This Is What a Brain Destroyed by Measles Looks Like

A new case report illustrates the deadly impact of subacute sclerosing panencephalitis, a rare complication of measles infection.
By

Reading time 3 minutes

Comments (18)

Most of the time, measles is a miserable yet survivable disease. But rarely, it can cause a devastating and universally fatal brain condition—one that takes years to claim its victim.

Doctors writing in the New England Journal of Medicine highlighted one such case in a report published over the weekend. They describe how a 7-year-old boy developed and ultimately died from a delayed form of encephalitis, or brain swelling, more than half a decade after his initial measles infection. Though these cases are incredibly rare, several children have already experienced other types of encephalitis during the ongoing measles outbreaks in the United States.

“The primary way to prevent measles infection and its neurologic [consequences] is vaccination,” the authors wrote.

Measles and the brain

Measles-related encephalitis can occur in several ways.

Primary measles encephalitis is directly caused by the virus invading the brain during infection. Acute post-infectious encephalitis is triggered by a harmful immune response that appears soon after the infection has been cleared, up to a month later. Both of these forms appear in roughly one out of every 1,000 children who contract the infection.

There’s a third type as well, called subacute sclerosing panencephalitis, or SSPE. SSPE is caused by infection with a mutated strain of the measles virus, which persistently lingers in the body. SSPE slowly destroys the brain, with the first noticeable symptoms typically not appearing until 6 to 8 years later. Unlike the other forms of measles encephalitis, however, SSPE is essentially 100% fatal (there have been isolated reports of intense drug therapy slowing its progression, but even these cases eventually succumb).

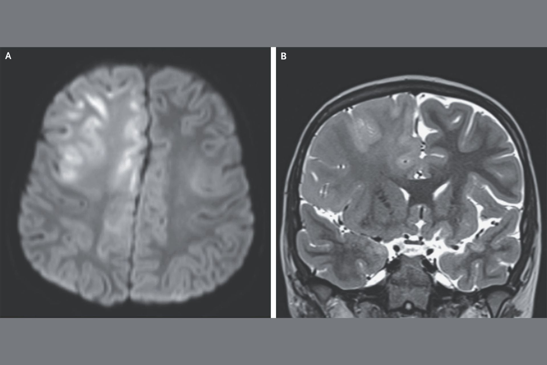
In this instance, the 7-year-old boy visited the doctors three months into having seizures and cognitive decline. He was no longer able to speak, and an MRI scan (seen in the top image) revealed extensive damage to the brain. Though the boy’s MRI results didn’t quite match the typical case of SSPE, the boy had contracted measles at 7 months of age while living in Afghanistan, a country where the virus is endemic. Tests of his spinal fluid also revealed levels of antibodies to the measles virus. That, coupled with his infection history and EEG results, led doctors to diagnose him with SSPE.

“The atypical imaging in our case highlights the diversity of MRI features of SSPE, but also clinicians need to be aware of the signs and symptoms of SSPE in previously unvaccinated individuals who have contracted measles,” report author John Crawford, the division chief of pediatric neurology at the University of California, Irvine’s School of Medicine, told Gizmodo.

Twelve months after his symptoms began, the boy died.

A tragic lesson

SSPE is even rarer than the other types of measles encephalitis. Only about one in every 25,000 children infected with measles will develop it, though the chances are higher if the infection is first caught before the age of one (one in 5,550 cases). And given its nature, it will take years to know whether any recent cases in the U.S. will someday experience it.

But we’re already starting to see the serious impacts of these current outbreaks, now totaling over 3,000 cases since early 2025. Earlier this month, South Carolina health officials reported that at least 19 people in the state had been hospitalized for severe measles complications, including several children who developed encephalitis. Since last year, hundreds of people in the U.S. have been hospitalized, while three people, including two children, have died from measles.

Practically none of these hospitalizations or deaths had to happen. Vaccination is highly effective against measles infection, and even when vaccinated people do catch measles, it is rare, and they experience milder illness.

“With all of the outbreaks in the U.S. with measles, I do indeed think this has the potential of an increasing incidence of SSPE in this country,” Crawford said.

Thanks to vaccination, measles was declared eliminated in the U.S. in 2000, and nationwide vaccination rates still remain high (over 90%). But that status is now on the brink of being lost. Should measles regain a firm foothold in the country, cases like this could once again become a tragic reality.

“I never thought I would have seen 2 cases of SSPE in my 20 year career. I hope I never see another one,” said Crawford.

This article has been updated with comments from one of the case report’s authors.

Explore more on these topics

Share this story

Sign up for our newsletters

Subscribe and interact with our community, get up to date with our customised Newsletters and much more.