Skip to content
Health

A Man’s Love of Hot Pot Gave Him Brain Tapeworms

By

Reading time 3 minutes

Comments (0)

A man’s love of delicious hot pot led him down a far more perilous path than he expected. His doctors in China say that the undercooked meal exposed him to a tapeworm infestation that riddled his brain with larval cysts and caused him to have seizures. Thankfully, though, he’s now on the mend.

Last week, doctors at the First Affiliated Hospital of Zhejiang University published a report on the case of their 46-year-old patient, referred to only as Zhu.

The report, written in Chinese and reviewed in Google Translate, appears to include testimony from the man himself. It reveals that Zhu began experiencing dizziness, headaches, and convulsions and mouth foaming while sleeping about a month ago. While working at a construction site soon thereafter, he experienced another seizure in front of his co-workers who called for emergency help. At the local hospital Zhu was taken to, initial x-rays suggested he had lesions and what appeared to be calcium deposits in his brain. But Zhu, not wanting to or unable to pay for more medical care, declined further help and simply went home.

https://gizmodo.com/woman-relieved-after-suspected-brain-tumor-turns-out-to-1835330841

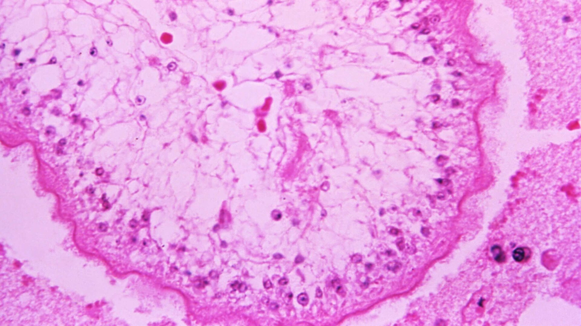
His symptoms continued, however, and his family eventually convinced him to seek care at the First Affiliated Hospital of Zhejiang University Medical College. There, an MRI scan revealed the true culprit of his ills: larval cysts from a pork tapeworm that had gotten lodged in his brain. When questioned by doctors, Zhu admitted that he had recently eaten a hot pot meal with very raw pork and mutton. It’s likely that the undercooked meats, doctors wrote, were contaminated with tapeworm eggs.

Getting infested by tapeworms isn’t a simple affair. If they reach your gut after eating the pork infected with them, the eggs can develop into full-size adult tapeworms that grow up to 25 feet. Once there, tapeworms can then seed a new generation of eggs into your poop. But the eggs need to infect pigs again or they’ll never have the ability to become adult tapeworms.

A person can still be infected by these undeveloped eggs, though, by ingesting food and water contaminated with them (and yes, you can also re-infect yourself with the eggs created from your previous infestation). When this happens, the eggs develop into hardy cysts that migrate through the bloodstream and can end up lodged throughout the body’s tissues—a condition called cysticercosis. While practically lifeless, the cysts can still cause serious damage and inflammation. That inflammation can be outright deadly if it happens in the brain, causing a subset of the condition called neurocysticercosis.

According to a local news report by Beijing-based Pear Video, doctors ultimately discovered around 700 tapeworm-related cysts in Zhu’s brain and chest, though this seemingly isn’t discussed in the case report itself. The case report does detail that Zhu was successfully given a deworming treatment, alongside a procedure that relieved the life-threatening high blood pressure in his brain caused by the cysts.

While cases of cysticercosis are rarer in the areas of the world with good sanitation, neurocysticercosis is still considered one of the leading causes of brain infection worldwide. And in the U.S., it’s one of five neglected parasitic infections that merit public health action, according to the Centers for Disease Control and Prevention.

Just this past June, a New York woman detailed her own strange case of neurocysticercosis, which was originally suspected to be a brain tumor.

Explore more on these topics

Share this story

Sign up for our newsletters

Subscribe and interact with our community, get up to date with our customised Newsletters and much more.